Journal of Multiple Sclerosis and Neuroimmunology

Search

Close

양측 삼차신경병으로 나타난 사르코이드증 1예

양측 삼차신경병으로 나타난 사르코이드증 1예

추이슬a, 이상곤b, 안석원a

Sarcoidosis Presented with Bilateral Trigeminal Neuropathy – A Case Report

Yi-Seul Choo, MDa, Sang-Gon Lee, MDb, Suk-Won Ahn, MD, PhDa
Received November 14, 2023       Revised December 23, 2023       Accepted December 25, 2023
ABSTRACT
Sarcoidosis is a multisystemic granulomatous disease of unknown origin, characterized by the presence of noncaseating granuloma in affected organs, and most frequently presented with bilateral hilar lymphadenopathy, pulmonary infiltration, skin and eye lesion. However, neurological involvement including peripheral neuropathy is relatively rare. Although the diagnosis of neurosarcoidosis can be challenging, electrophysiologic and laboratory evaluations suggestive of sarcoidosis lead to diagnosis of sarcoidosis. We report a patient who presented bilateral trigeminal neuropathies initially without other systemic symptoms or organ involvements.
사르코이드증은 아직까지 원인이 명확하게 밝혀지지 않은 전신성 비건락성 육아종 질환이다.1-6 결핵이나 다른 육아종 질병과 비슷한 병리학 소견을 보이고 있어 감염에 의한 염증 반응일 가능성이 대두되어 왔고 최근 들어서는 세포성 면역질환의 일종으로 생각되고 있다.1,4,7-10 사르코이드증은 폐문 주위의 림프절이나 폐를 주로 침범하며 피부와 안구 등의 병변도 비교적 빈번하게 보고되고 있으나, 신경계의 침범은 매우 드물게 보고되고 있다.1,2,5,6,10 사르코이드증의 신경계통 침범은 주로 뇌신경 마비로 나타나며 특히 얼굴신경의 마비가 가장 흔하게 보고되고 있다.4-6 그 외 육아종 뇌수막염, 시상하부나 뇌하수체, 척추의 병변, 진행성백질뇌증, 말초성 다발신경병증 등이 드물지만 보고되었으며,5 이러한 신경계통의 침범은 대부분 폐문 주위 림프절이나 폐의 침범에 동반되어 나타난다.
사르코이드증의 진단은 임상적인 증상에 더불어 튜베르쿨린(tuberculin) 피부검사, 적혈구침강속도(Erythrocyte Sedimentation Rate)의 증가, 호산구 증가, 고칼슘혈증, 안지오텐신 전환효소(angiotensin converting enzyme, ACE) 증가, 빈혈, 저알부민혈증 등의 검사로 도움을 받을 수 있으나5,6 확진은 병변이 침범된 조직에서 비치즈화 육아종을 확인하는 것이다.1,3,4,6
저자들은 폐문 주위 림프절이나, 피부, 안구 등에 병변이 없이 진행하는 양측 얼굴의 감각저하를 주소로 내원하여 전기생리학적검사, 혈액검사, 폐 영상 및 조직검사를 통해 사르코이드증과 삼차신병증으로 확진된 증례를 경험하였기에 이를 보고하는 바이다.
증례
증례
50세 남자 환자가 3개월 전부터 시작되어 진행하는 양측 얼굴의 감각저하와 통증을 주소로 내원하였다. 이전에 건강하던 환자는 3개월 전 식사를 하거나 세수를 할 때 약간의 불편함을 느낄 정도로 얼굴의 이상감각증을 경험하였다. 구음장애, 삼킴장애, 호흡곤란, 팔다리 근력저하 등의 증상들은 동반되지 않았다. 얼굴의 이상감각증은 서서히 진행하여 증상 발생 한 달 후에는 저림감과 따끔거리는 통증이 발생하였고 점차 증상의 강도 및 범위가 악화된다고 하였다. 병원에 방문하기 직전에는 양측 손에도 저림감이 있었고, 음식을 먹을 때 맛을 잘 못 느낀다고 하였다. 이와 더불어 간헐적으로 가슴이 답답한 느낌과 약간의 호흡 곤란을 호소하였다.
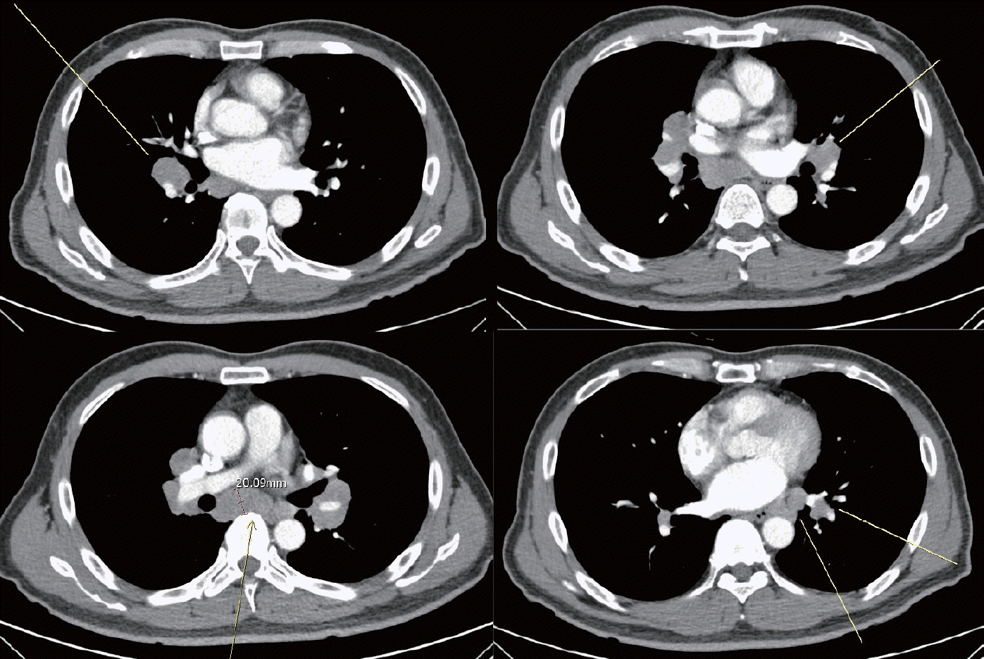
환자는 신경계를 포함하여 특별한 과거 병력은 없었고, 결핵, 감염성 질환 및 흡연이나 다른 약물에 노출된 병력도 없었으며, 유전질환의 가족력도 없었다. 이학적 검사상 특이 소견은 없었고 신경학적 검사상 정신상태검사는 정상이었다. 뇌신경검사에서 양측 얼굴의 통증 및 온도 감각이 저하된 소견이 보였고 그외 다른 뇌신경계는 정상이었다. 상지 및 하지의 근력 및 감각 기능은 정상적으로 유지되고 있었으나 양측 손목 이하로 주관적인 저림감을 호소하고 있었다. 팔다리 심부건반사 및 소뇌 기능 검사는 정상이었다. 전기생리학적 검사에서 상하지의 신경전도검사(nerve conduction study, NCS)는 정상이었고, 얼굴신경전도검사(facial NCS)와 신경흥분성검사(nerve excitability test)는 정상이나 눈깜빡반사검사(Blink test)에서 양측 삼차신경병증을 시사하는 소견이 관찰되었다(Table 1). 일반혈액검사에서는 정상이었으나, ACE가 비정상적으로 증가(82 U/L [20-70 U/L])되어 있었다. 자가면역질환과 관련된 항체검사들(antinuclear antibody, anti-Ro/SS-A antibody, anti-La/SS-B antibody, anti-dsDNA, lupus anticoagulant) 및 혈청이나 소변의 면역전기영동검사는 정상이었다. 뇌 자기공명영상은 정상이었으나 뇌척수액검사에서 염증세포가 증가되어 있었고(white blood cell 20/mm3, lymphocyte 100%), 단백질도 증가되어 있었다(94.9 mg/dL). 흉부 X선 촬영에서 양측 폐문과 종격동 림프절 종대가 관찰되었고(Fig. 1), 흉부 전산화단층촬영에서도 폐문, 종격동, 폐엽, 폐상부, 식도부 주위를 비롯한 여러 부위에 림프절 종대가 확인되어 사르코이드증에 합당한 소견이었다(Fig. 2). 사르코이드증의 확진을 위하여 조직검사를 시행하였고, 비치즈화 육아종(non-caseating small granulomas)이 확인되어 사르코이드증으로 확진할 수 있었다(Fig. 3).
결론적으로 환자는 사르코이드증 및 이와 관련된 삼차신경병증으로 진단받고 고용량의 경구 스테로이드(prednisolone 60 mg/day) 치료를 시작하였다. 수개월의 치료 후에 점차 얼굴의 이상감각증이 호전되었을 뿐 아니라, 재시행한 눈깜빡반사검사 에서도 호전된 검사 결과를 확인할 수 있었다(Table 2).
고찰
고찰
삼차신경병증의 경우 충분한 진단적 검사에도 불구하고, 정확한 진단을 얻는 데 실패하는 경우가 적지 않다. 본 환자의 경우 아급성 경과를 보이는 양측 얼굴의 감각저하 및 이상감각을 주소로 내원하였고 눈깜빡반사검사에서 양측성 삼차신경병증을 보였다. 얼굴을 포함하여 양측 상지에도 저림 등의 이상감각증을 호소하고 스테로이드에 좋은 반응을 보였기 때문에, 만성염증탈수초다발성신경병이나 류마티스질환으로 오진할 가능성이 높았던 환자로 생각할 수 있다. 하지만 본 증례의 경우 전기생리학적인 검사상 이상 소견이 명확하였고 폐문 주위 림프절이나 폐의 침범을 초기에 확인할 수 있어서 사르코이드증을 의심해 볼 수 있었다. 이후에 사르코이드증의 진단은 ACE의 증가, 폐 컴퓨터단층촬영 및 폐 조직검사에서 확진할 수 있었다.1-8
사르코이드증에서 ACE의 증가는 사르코이드증의 가능성을 시사하지만, 전체 환자의 50-75%에서 확인되고 있고2,5,6,8 검사 결과가 특이적이기는 하지만 민감도가 높은 검사는 아니라고 보고되고 있으며,1 이런 경우 사르코이드증의 진단은 임상적 의심, 폐 침범 영상 및 조직검사 결과로 진단이 가능하다.1,3,5
신경계 사르코이드증은 모든 사르코이드증의 5-10% 정도이며, 특히 신경병증으로만 발현한 것은 매우 드물다.2-5 따라서 실제로 진료 현장에서 임상적인 의심이 없을 경우 진단이 더욱 어려워질 가능성이 있으며, 실제로 사르코이드증에 의한 신경병증 환자가 진행성 임상 경과와 스테로이드 반응성을 근거로 만성염증탈수초다발신경병 혹은 피부 병변을 근거로 polyneuropathy, organomegaly, endocrinopathy, monoclonal plasma cell disorder, skin changes로 잘못 진단할 가능성을 완전히 배재할 수 없겠다. 한편, 사르코이드증에 의해 신경병증이 발병하는 기전에 대해서는 괴사성 혈관염에 의한 신경의 허혈성 손상과, 육아종의 면역 반응 과정에서 대식세포에서 단백분해 효소 등의 유해 물질을 통한 염증성 기전이 제시되어 있다.1
사르코이드증의 치료로 고용량의 경구 스테로이드를 투약하며, 스테로이드에 반응하지 않는 경우에는 methotrexate, azathioprine, cyclosporine 등의 면역억제제나 방사선 요법이 효과적이라는 보고가 있다.2,5
결론적으로 저자들은 양측 삼차신경병증으로 발현하여 혈액검사, 폐 영상 및 조직검사를 통해 확진한 사르코이드증 증례를 경험하였기에 보고하는 바이다.
Acknowledgments
Acknowledgments

This work was supported by the National Research Foundation of Korea (NRF) grant funded by the Korea government (MSIT) (NRF-2021R1C1C1010926).

Figure 1.
Routine chest radiography. Suspected enlarged hilar and mediastinal lymph nodes.
jmsni-2023-14-2-118f1.tif
Figure 2.
Contrast-enhanced chest computed tomography. Multiple enlarged lymph nodes in both mediastinal, hilar and interlobar, supraclavicular and paraesophageal areas. These finding most likely sarcoidosis.
jmsni-2023-14-2-118f2.tif
Figure 3.
Mediastinal lymph node biopsy. Mediastinal lymph node. Numerous non-caseating small granulomas, consistent with sarcoidosis (Hematoxyling and Eosin staining, ×100).
jmsni-2023-14-2-118f3.tif
Table 1.
Initial blink test/facial nerve NCS/facial nerve excitability test
Stimulation Blink test
Facial nerve NCS
Facial nerve excitability test
Ipsilateral R1-latency Ipsi R2-latency Contra R2-latency Latency (msec) Amplitude (uV) Facial nerve excitability threshold (mA)
Right No response (12.2) No response (37.9) No response (39.2) 2.5 1,800 10.5
Left No response (12.2) No response (37.9) No response (39.2) 2.3 1,800 11.3
Right and left difference No response (<1.2) No response (<5.0) No response (<7.0)

Initial blink test revealed bilateral trigeminal neuropathy. In the direct facial stimulation, both the terminal latency and CMAP amplitude of both facial nerves are normal. Facial nerve excitability test, both sides of the facial nerve extreme threshold are in the normal range.

NCS, nerve conduction study; CMAP, compound muscle action potential.

Table 2.
Follow-up blink test/facial nerve NCS/facial nerve excitability test
Stimulation Blink test
Facial nerve NCS
Facial nerve excitability test
Ipsilateral R1-latency (msec) Ipsi R2-latency (msec) Contra R2-latency (msec) Latency (msec) Amplitude Facial nerve excitability threshold (mA)
Right 11.6 (12.2) 37.7 (37.9) 38.2 (39.2) 3.0 2,200 9.4
Left 11.8 (12.2) 37.5 (37.9) 38.1 (39.2) 2.6 2,300 11.3
Right and left difference 0.2 (<1.2) 0.2 (<5.0) 0.1 (<7.0)

Follow-up blink test is normal. The findings of bilateral trigeminal neuropathy recovered on follow-up blink test. In the direct facial stimulation, both the terminal latency and CMAP amplitude of both facial nerves are normal. Facial nerve excitability test, both sides of the facial nerve extreme threshold are in the normal range.

NCS, nerve conduction study; CMAP, compound muscle action potential.

REFERENCES
REFERENCES

1. Said G, Lacroix C, Planté-Bordeneuve V, Le Page L, Pico F, Presles O, et al. Nerve granulomas and vasculitis in sarcoid peripheral neuropathy: a clinicopathological study of 11 patients. Brain 2002;125(Pt 2):264-275.
[Article] [PubMed]
2. Sharma OP. Neurosarcoidosis: a personal perspective based on the study of 37 patients. Chest 1997;112:220-228.
[Article] [PubMed]
3. Joseph FG, Scolding NJ. Neurosarcoidosis: a study of 30 new cases. J Neurol Neurosurg Psychiatry 2009;80:297-304.
[Article] [PubMed]
4. Zuniga G, Ropper AH, Frank J. Sarcoid peripheral neuropathy. Neurology 1991;41:1558-1561.
[Article] [PubMed]
5. Baughman RP, Lower EE, du Bois RM. Sarcoidosis. Lancet 2003;361:1111-1118.
[Article] [PubMed]
6. Stern BJ. Neurological complications of sarcoidosis. Curr Opin Neurol 2004;17:311-316.
[Article] [PubMed]
7. Sharma OP. Pulmonary sarcoidosis and corticosteroids. Am Rev Respir Dis 1993;147(6 Pt 1):1598-1600.
[Article] [PubMed]
8. Hoitsma E, Faber CG, Drent M, Sharma OP. Neurosarcoidosis: a clinical dilemma. Lancet Neurol 2004;3:397-407.
[Article] [PubMed]
9. Ahn SW, Kim KT, Youn YC, Kwon OS, Kim YB. Isolated spinal cord neurosarcoidosis diagnosed by cord biopsy and thalidomide trial. J Korean Med Sci 2011;26:154-157.
[Article] [PubMed]
10. Scott TF, Yandora K, Valeri A, Chieffe C, Schramke C. Aggressive therapy for neurosarcoidosis: long-term follow-up of 48 treated patients. Arch Neurol 2007;64:691-696.
[Article] [PubMed]

Go to Top